Smile Gallery
At Santa Monica Bay Dental, we specialize in providing comprehensive dental solutions to address various oral health concerns and help you achieve the smile transformation you’ve always desired. Explore the images below and use the sliders to witness the remarkable results experienced by our satisfied patients.
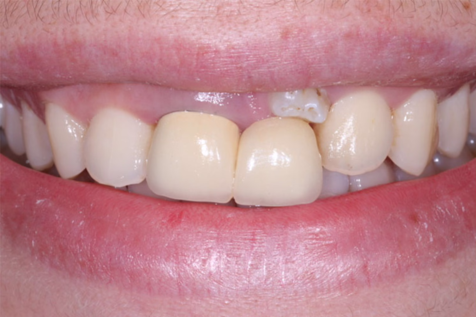
Bonding
A versatile procedure that can target many dental imperfections, including chips, cracks, discoloration or staining, minor gaps, and inconsistent tooth sizes or shapes.
Orthodontics
Clear aligners are a convenient alternative to braces. They are nearly invisible and do not require you to change your eating habits.
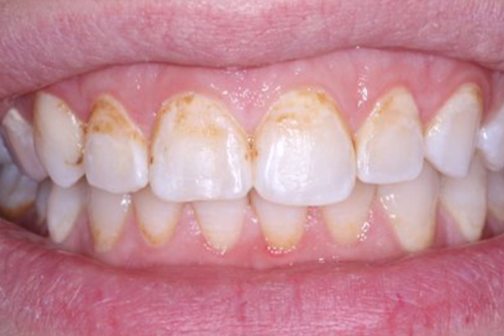
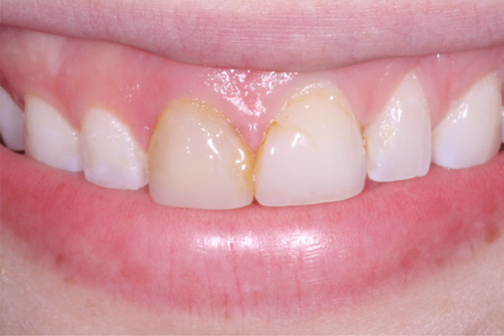
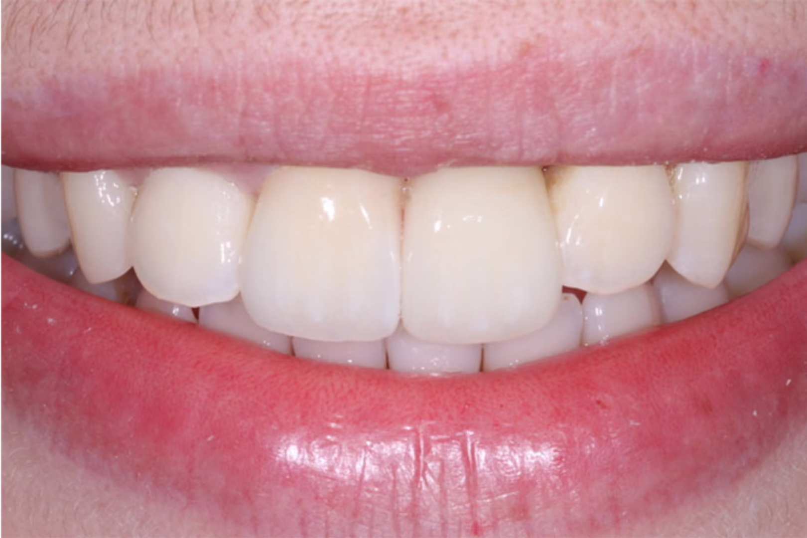
Porcelain Veneers
Dental veneers can fix the appearance of cracked, chipped, stained, or misaligned teeth. Contact us today for a flawless smile. They are thin, porcelain wafers are placed over the surfaces of teeth to address a number of cosmetic issues.
Dental Implants
Dental implant surgery replaces tooth roots with metal, screwlike posts and replaces damaged or missing teeth with artificial teeth that look and function much like real ones.
Full Mouth Reconstruction
Full mouth reconstruction is a comprehensive dental treatment that involves restoring and rebuilding the entire mouth to address multiple dental issues and achieve optimal oral health and aesthetics.
Crowns
Dental crowns are custom-made restorations designed to improve the appearance of misshapen, discolored, or severely stained teeth, helping to create a more natural and aesthetically pleasing smile by covering the visible portion of the tooth with a carefully crafted and color-matched crown.
Dentures
Dentures are removable prosthetic devices used to replace missing teeth and surrounding tissues. They are custom-made to fit the individual's mouth and provide functional and aesthetic benefits for those with tooth loss.
Dental Implants and Porcelain Veneers